How Can Providers Combat Inequities in the Care of Renal Medullary Carcinoma Patients?

This video was originally published by Diverse Health Hub here. How Can Providers Combat Inequities in the Care of Renal Medullary Carcinoma Patients? from Diverse Health Hub on Vimeo. Dr….
Are Sickle Cell Disease Patients More Susceptible to Renal Medullary Carcinoma?

This video was originally published by Diverse Health Hub here. Are Sickle Cell Disease Patients More Susceptible to Renal Medullary Carcinoma? from Diverse Health Hub on Vimeo. Are sickle cell…
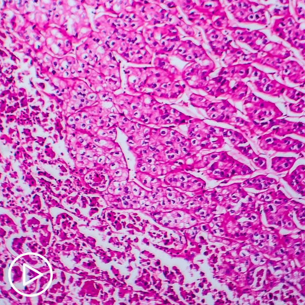
What is Renal Medullary Carcinoma?

This video was originally published by Diverse Health Hub. What is Renal Medullary Carcinoma? from Diverse Health Hub on Vimeo. What is renal medullary carcinoma (RMC)? Dr. Pavlos Msaouel, a…
The Importance of Finding a Myeloproliferative Neoplasm (MPN) Specialist

The Importance of Finding a Myeloproliferative Neoplasm (MPN) Specialist from Patient Empowerment Network on Vimeo. How can MPN patients find a specialist? Patient Empowerment Network MPN managers Summer and Jeff…
Take Care of Yourself and Your Family’s Health

Building Resilience and Boosting Immunity At a time when health is top of mind for everyone, despite the stressors, how can we ensure to emerge emotionally, physically and mentally resilient?…
How to Be a Good Care Partner 101

How to Be a Good Care Partner 101 from Patient Empowerment Network on Vimeo. What is the most important aspect of being a good care partner? MPN Network Managers, Jeff…
MPN Patient and Care Partner Share the Importance of Staying Positive and Setting Goals

MPN Patient and Care Partner Share the Importance of Staying Positive and Setting Goals from Patient Empowerment Network on Vimeo. In the midst of a crisis, it’s quite difficult to…
How Can MPN Patients Amplify Their Voice?

How Can MPN Patients Amplify Their Voice? from Patient Empowerment Network on Vimeo. MPN Network Managers Jeff Bushnell and Summer Golden, a husband and wife team, share how they cope…
The Importance of Living in the Moment

The Importance of Living in the Moment from Patient Empowerment Network on Vimeo. Jeff Bushnell and Summer Golden, MPN Network Managers at the Patient Empowerment Network share the importance of…
Meet Our MPN Empowerment Leads: Jeff and Summer

Meet Our MPN Network Managers: Jeff and Summer from Patient Empowerment Network on Vimeo. Our MPN Empowerment Leads, Summer Golden and Jeff Bushnell of San Diego, California, discuss how a…
Diana’s Story: How Connecting with Another Head and Neck Cancer Patient Saved My Life

Diana’s Story: How Connecting with Another Head and Neck Cancer Patient Saved My Life from Patient Empowerment Network on Vimeo. After Diana’s cancer diagnosis, she was told that she had…